
В ортопедо-травматологічному відділенні Закарпатської обласної дитячої лікарні використовуються сучасні, малотравматичні методики лікування деформацій у дітей та підлітків, що забезпечують природний ріст кісток та повну рухливість кінцівок.
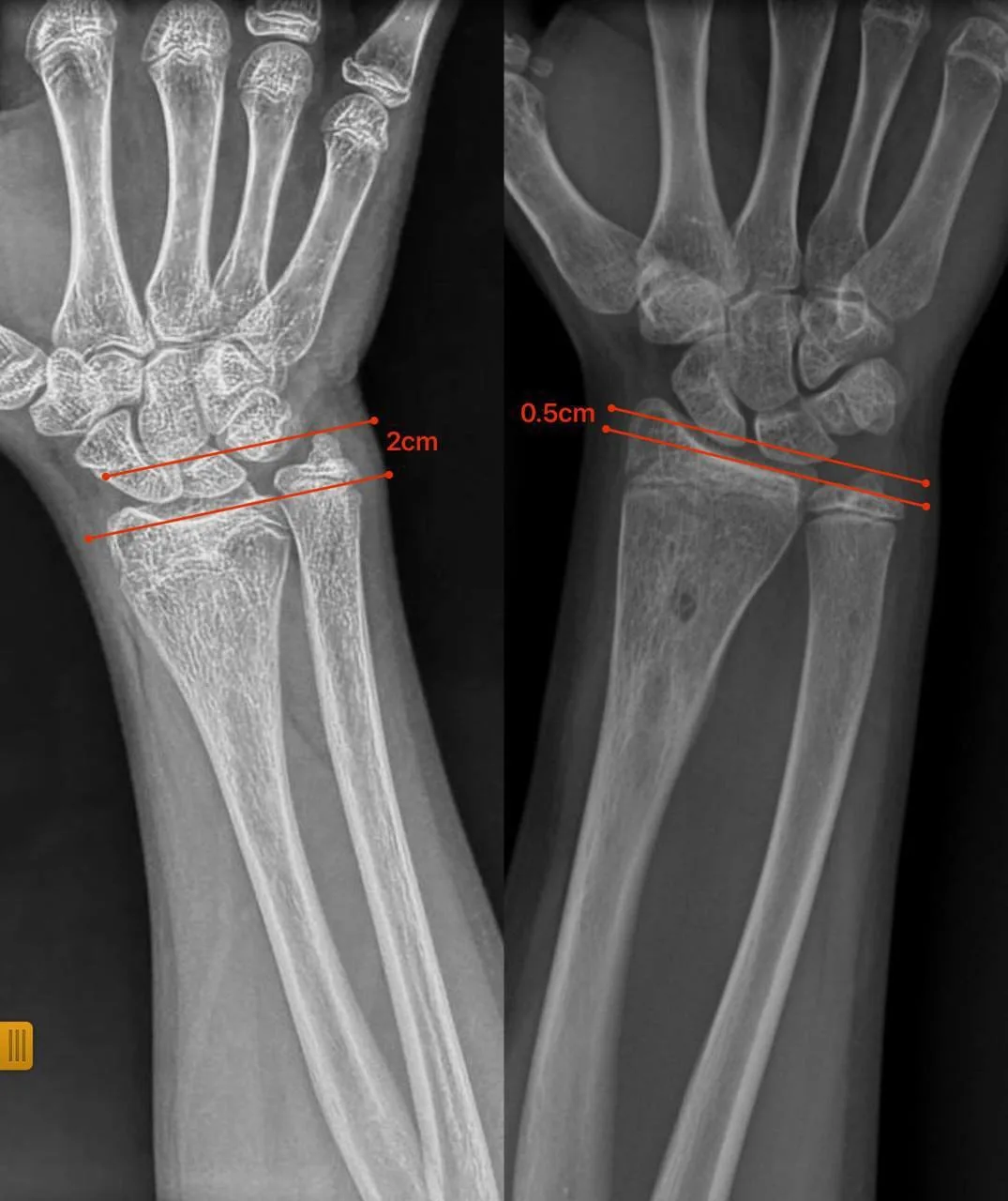
Нещодавно до відділення звернулися батьки 12-річної дівчинки з іншої області з післятравматичною деформацією кісток передпліччя. Лікарі виявили, що ріст кістки порушився через утворення кісткового мостика, який заважав росту кістки та деформував її.
Під час операції спеціалісти видалили кістковий місток під контролем ендоскопа. Такий малотравматичний підхід дозволив відновити природний ріст кістки без складних остеотомій чи встановлення металоконструкцій.
Через сім місяців передпліччя дівчинки повністю відновило форму, ріст кістки нормалізувався, а рухливість кінцівки збережена.

Цей випадок демонструє, що не всі деформації потребують складних оперативних методик: іноді достатньо усунути першопричину порушення росту, щоб кістка розвивалася природним шляхом.
Закарпатська обласна дитяча лікарня


