У ході моніторингу соціальних мереж співробітники поліції виявили публікацію, у якій повідомляється, що в місті Мукачево на одній із вулиць знайшли собаку з пораненою лапою. Про це інформує Національна поліція Закарпаття.







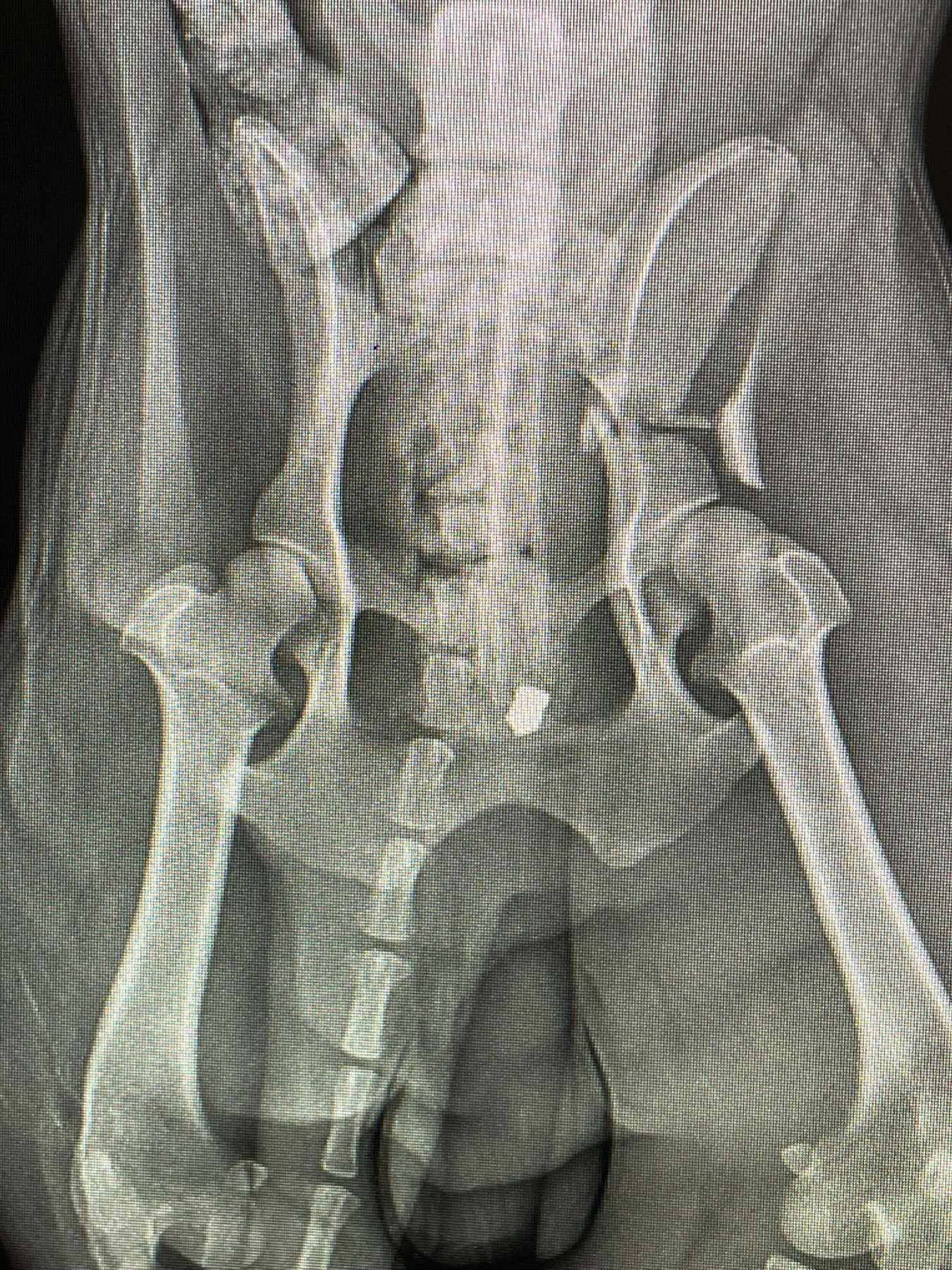
Як зазначено в дописі, огляд та рентген показали наявність у тілі тварини двох куль. Окрім цього, у собаки роздроблені кістки на лапі.
Поліцейські зареєстрували подію та розпочали перевірку. Наразі правоохоронці встановлюють обставини події та осіб, причетних до жорстокого поводження з собакою.
Правоохоронці просять небайдужих, які допомогли тварині, звернутися до Мукачівського районного управління поліції для дачі показів, які важливі для встановлення всіх обставин події.


